Cosmetic Veneers, their types, and the difference between lumineers and veneers
Your smile should convey a positive emotion to the ones you’re smiling at. If you think your smile lacks clarity in terms of positivity due to stained, chipped, or gaps in your teeth, veneers are a great solution. But the only issue is that the treatment is permanent due to which you need to make an informed decision. Before you make an appointment with a dentist, it’s good to know as much as possible about veneers Ottawa.
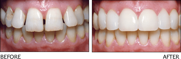
What are veneers?
Veneers are thin shells that visually replicate a tooth. It is custom-designed to enfold the front part of the teeth while making them look flawless. During the in-office procedure, the veneers are secured to the tooth’s original enamel. A veneer yields more strength and resilience than natural tooth enamel. There are two popular materials that are used to make veneers Ottawa:1) Porcelain2) Resin Composite materials
What are porcelain veneers?
Porcelain is a ceramic material created from heating substances. Porcelain veneers Ottawa are also thin, strong, and greatly mimic the color of natural enamel. Before placing them on a tooth, the dentist needs to remove a little bit of enamel from it. If you want extra brightness, porcelain veneers can be made whiter than your teeth.
What are composite veneers?
In the case of composite veneers, a tooth-colored resin is applied to shelter the teeth. The application procedure is different than that of porcelain veneers Ottawa. The resin is directly applied to the tooth and only after that, it’s shaped into a veneer. Composite veneers are more affordable and reversible.
What is the difference between lumineers and veneers?
Lumineers veneers Ottawa are actually the same product but the only difference lies in their thickness. Lumineers are 0.3mm thick while veneers are 0.5mm. The difference may not radiate the significance on paper but it is certainly noticeable when they are practically applied to the teeth.
Due to the fact that porcelain veneers are thicker, the dentist needs to remove a part of the teeth’s natural enamel. This is done in order to make room for the veneer so that its surface is parallel with the surface of neighboring teeth. As already mentioned earlier, the enamel removal is permanent and you’ll always need to use veneers for the rest of your life.
On the other hand, getting lumineers is a reversible procedure. As lumineers have half the thickness of the veneers, you don’t have to lose a part of your natural enamel in order to get lumineers. If in the near future, you decide to get your lumineers removed, you certainly can do so without any consequences. Since the lumineers are thinner, it provides a more natural look to your teeth.
FAQs
1. Do I need to know about any limitations for veneers in Ottawa?
Although hard, veneers are not indestructible. You need to follow a good oral routine and not consume hard food too frequently for better longevity.
2. What is the procedure to make porcelain veneers stay in place?
You ought to come to our clinic for the second time to let the dentist fit and shape the veneer. He then will use dental cement for a stronger and more permanent bond.
3. Can I have Lumineers veneers in Ottawa positioned over my fillings?
Yes. There is no need for anaesthesia as you will feel no pain or even sensitivity once the process is over.
4. For whom would veneers not be the best choice?
This treatment should not be chosen by those who clench or grind their teeth frequently. Veneer chips and fractures are caused by this disorder known as bruxism.
5. Can I reuse porcelain veneers in Ottawa?
Yes, you can replace but not reshape them. Despite its extreme durability, there will come a time when the dentist will need to replace it.
6. Will the dentist remove my enamel at the time of placing Lumineers veneers?
No. An impression of your tooth will be taken to create custom-made enamel. The dentist then resorts to special dental bonding to fix the enamel.

