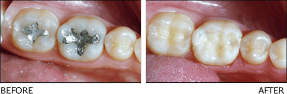
Dentisterie sans métal
La Dre Doumit et son équipe fournissent les derniers matériaux dentaires pour vous donner un résultat magnifique et durable. C'est vrai quand vous avez besoin d'une cavité simple remplie. Les plombages blancs sur les plombage traditionnels d'amalgame ont de nombreux avantages et ressemblent à vos dents naturelles.
Comparaison de l'amalgame traditionnel avec des plombages blancs sans métal :
- Les plombages métalliques contiennent du mercure, ce qui peut nuire à votre santé. Les «plombages blancs», sans métal, ne contiennent pas de mercure.
- Contrairement aux obturations métalliques, les obturations blanches contiennent du dioxyde de silicone, ce qui empêche le plombage de conduire des températures extrêmement chaudes ou froides. De cette façon, vos dents ne seront pas sensibles après le traitement.
- Les plombages blancs durcissent rapidement après le traitement, alors que les plombages métalliques prennent généralement plusieurs heures.
- Les plombages blancs ont un aspect naturel et se fondent avec vos dents, contrairement aux plombages métalliques qui sont gris et qui se détachent sur vos dents.
Contactez-nous aujourd'hui pour une consultation gratuite!
